Search:


Pterisolic Acid B is a Nrf2 Activator by Targeting C171 within Keap1-BTB Domain

Dong, T.; Liu, W.; Shen, Z.; Li, L.; Chen, S.; Lei, X.*
Scientific Reports 2016, 6, 19231

Abstract The use of chemoprotective agents to minimize the side effects of the chemotherapy, primarily via activation of the Nrf2 pathway, is an emerging research field, which has attracted broad attention from both academia and pharmaceutical industry. Through high-throughput chemical screens we have disclosed that pterisolic acid B (J19), a naturally occuring diterpenoid, is an […]

Abstract

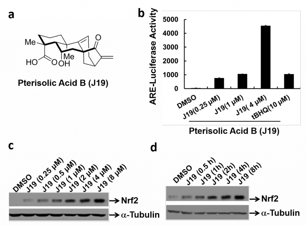
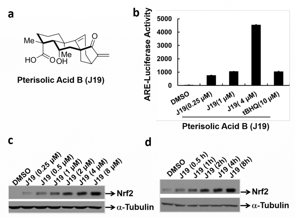
The use of chemoprotective agents to minimize the side effects of the chemotherapy, primarily via activation of the Nrf2 pathway, is an emerging research field, which has attracted broad attention from both academia and pharmaceutical industry. Through high-throughput chemical screens we have disclosed that pterisolic acid B (J19), a naturally occuring diterpenoid, is an effective Nrf2 activator. We have also identified a more potent natural product analogue J19-1 by semisynthesis and subsequent biochemical evaluations, and revealed that J19-1 activates the Nrf2 pathway by covalently modifying Cys171 of keap1, which inhibits Nrf2 degradation mediated by Keap1-Cul3 complexes. Ultimately, we have demonstrated that J19-1 shows significant cytoprotective effect against cisplatin-induced cytotoxicity in HKC cells.

http://www.nature.com/articles/srep19231

pterisolic acid b